Dr Novak nie przepisał dodatkowych leków, stwierdził, że nie ma potrzeby również dalszego diagnozowania i generowania kosztów z tym związanych gdyż wszystko jest wiadome z badań przeprowadzonych we Wrocławiu.
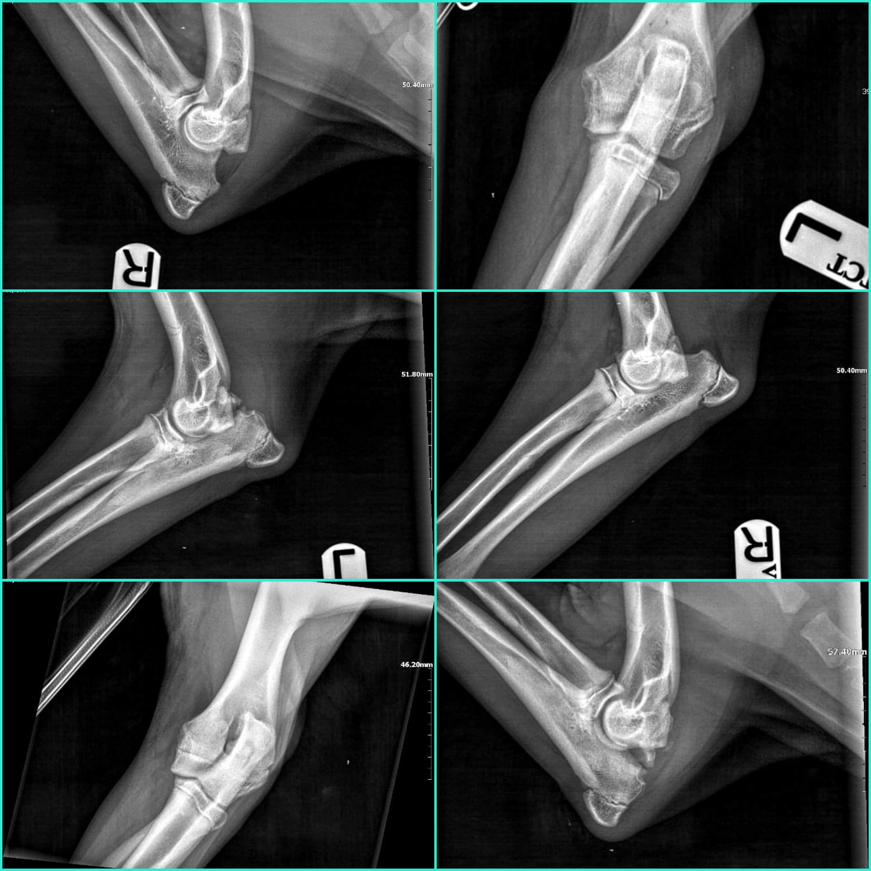
Staw łokciowy lewej nogi jest w złym stanie gdyż nie zrosła się kość, natomiast staw łokciowy prawej nogi nie jest najgorszy ale jest konieczność przeprowadzenia artroskopii obydwu stawów... Trzeba usunąć część kości która się nie zrosła.
- Koszt 25 000 KCZ ( ok 5 tys PLN ) - najbliższy termin to koniec lipca.
- Aby zarezerwować termin zabiegu jest konieczność wpłacenia zaliczki w kwocie 3 000 KCZ. ( w/g kursu na dzień dzisiejszy to jest ok 564 PLN )
Staramy się zebrać pieniążki gdzie się da, ale ciągle na wszystko brakuje.
W tej chwili opłaciłyśmy już pierwszą wizytę u Dr Novaka oraz koszty benzyny za dojazd
( FV pokazane w zdjęciach poniżej ) i musimy uzbierać na wpłacenie zaliczki by móc umówić termin operacji - młody nie może czekać bo dla niego czas to gwarancja zdrowia jak dorośnie. Lemonek chciałby być aktywnym psiakiem na miarę swojego wieku. Niestety musi być ta aktywność ograniczana, ponieważ zaczyna wtedy utykać, bolą go stawy w miejscu chorobowym i puchną bardzo
Trzeba jak najszybciej to zoperować.
Oprócz tego ciągle mamy zaległe FV za hotelik Aronka, fv za wizyty wet i transporty psiaków :'(
Bardzo Was prosimy o najdrobniejsze nawet wpłaty, byśmy mogły uzbierać na tą pilną operację Lemonka, bo czas nas goni, a my na koncie nie mamy nawet na to by wpłacić zaliczkę i umówić już termin operacji
Mamy takie marzenie, że jakby każdy wpłacił chociaż 10-20 zł to potrzebna kwota by się uzbierała
Prosimy, pomóżcie Lemonkowi wrócić do zdrowia
Wesprzeć można poprzez wpłatę na zbiórkę dla Lemonka:
✔️ https://pomagam.pl/dysplazjalemonka
lub poprzez bezpośrednią wpłatę na konto Stowarzyszenia:
✔️ PKO BP
81 1020 2401 0000 0302 0576 8322
konto do wpłat zagranicznych :
Kod BIC (Swift): BPKOPLPW
PL81 1020 2401 0000 0302 0576 8322
Lub
✔ https://www.zwierzoklik.pl/dobermania
Lub



LEMONEK NA FACEBOOK’U kliknij tutaj